Zdrowie i Uroda na Najwyższym Poziomie
Szukasz informacji o nowoczesnych metodach leczenia i pielęgnacji? Znajdź inspiracje i wskazówki na medcis.eu.

Rzemieślnicze lody w kawiarni w Krzeszowicach - połączenie tradycji z nowoczesnością
W Krzeszowicach powstaje wyjątkowa kawiarnia, która łączy w sobie tradycję i nowoczesność. Rzemieślnicze lody, oferowane przez to miejsce, są efektem wieloletniego doświadczenia w branży cukierniczej. Specjaliści łączą klasyczne receptury z innowacyjnymi technikami, tworząc unikalne smaki, które zac

Skuteczność terapii dla dzieci z emocjonalnymi trudnościami
Terapia dla dzieci z trudnościami emocjonalnymi stanowi formę wsparcia, która może być rozważana w sytuacji pojawienia się trudności w codziennym funkcjonowaniu. Wczesna konsultacja bywa pomocna w rozpoznaniu potrzeb dziecka oraz omówieniu problemów emocjonalnych i społecznych. Centrum Terapii Aleks
Artykuły ostatnio dodane
Gastronomia, artykuły spożywcze

Jakie smaki zaskoczą Cię w naszym kebabie?
Kebab to nie tylko danie, ale prawdziwa uczta dla zmysłów. Różnorodność smaków i aromatów sprawia, że staje się ulubionym wyborem wielu osób. Każdy kęs to wyjątkowe doświadczenie kulinarne, które zaskakuje bogactwem kompozycji. Świeże składniki, aromatyczne przyprawy oraz starannie przygotowane sosy
Ochrona zdrowia i uroda

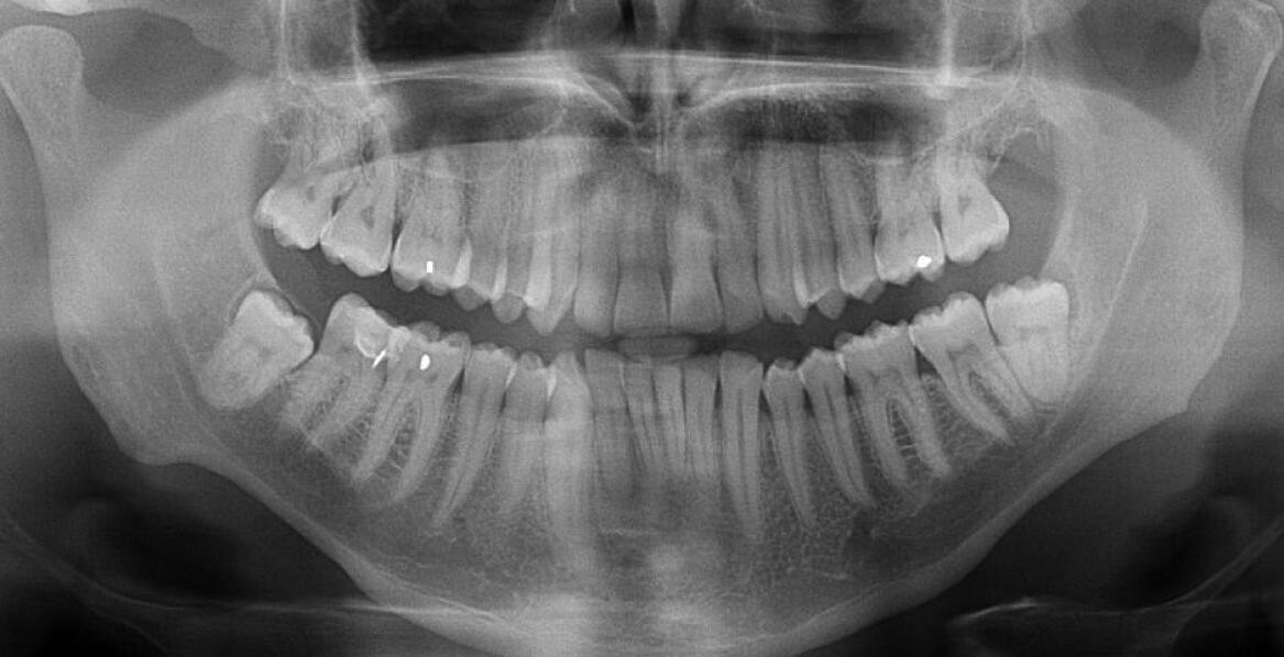
Jak radiowizjografia wspiera diagnostykę w stomatologii estetycznej?
Nowoczesne podejście do diagnostyki w stomatologii estetycznej opiera się na radiowizjografii, która rewolucjonizuje sposób obrazowania zębów oraz struktur otaczających. Dzięki tej technice lekarze uzyskują wyraźne i szczegółowe obrazy, co pozwala na dokładniejszą ocenę stanu uzębienia. W artykule o
Usługi i produkty remontowo-budowlane

Wykorzystanie nowoczesnych stalowych hal w projektach budowlanych o szybkim terminie realizacji
Nowoczesne hale stalowe to innowacyjne rozwiązania, które rewolucjonizują branżę budowlaną. Dzięki tym konstrukcjom można korzystać z licznych zalet, takich jak wytrzymałość, elastyczność oraz szybkość budowy. Odporność na czynniki atmosferyczne i łatwość rozbudowy sprawiają, że są one idealne dla r
Odzież, obuwie i dodatki

Dlaczego warto inwestować w wysokiej jakości biustonosze miękkie na fiszbinie?
Wybór odpowiedniego biustonosza ma kluczowe znaczenie dla komfortu i zdrowia kobiet. Inwestycja w wysokiej jakości biustonosze miękkie na fiszbinach przynosi wiele korzyści, które wpływają na codzienne samopoczucie oraz pewność siebie. Warto zwrócić uwagę na zalety tych produktów, takie jak odpowied
Produkty i usługi dla każdego

Zestaw do filtrowania wody a jakość życia – dlaczego warto go mieć?
Woda jest niezbędna do życia, a jej jakość ma kluczowe znaczenie dla zdrowia i samopoczucia. Spożywanie zanieczyszczonego płynu może prowadzić do problemów zdrowotnych, dlatego warto zadbać o odpowiednie oczyszczenie. Wprowadzenie zestawu do filtrowania wody do codziennego użytku może znacząco popra
Transport, logistyka i pojazdy

Jakie są perspektywy rozwoju rynku sprzedaży widłowych wózków?
W obliczu dynamicznych zmian na rynku, sprzedaż wózków widłowych staje się kluczowym elementem strategii przedsiębiorstw. Wzrost znaczenia tego segmentu wynika z rosnącego zapotrzebowania na różnorodne modele oraz usługi związane z ich konserwacją i wynajmem. Firmy dostrzegają korzyści płynące z inw
Elektronika, AGD, narzędzia

Na jakiej zasadzie działają dzielarki do drobiu?
Dzielarki do drobiu odgrywają istotną rolę w przemyśle mięsnym, umożliwiając efektywne dzielenie tuszek. Ich znaczenie w produkcji wpływa na jakość końcowego produktu, co jest kluczowe dla zadowolenia klientów. Wprowadzenie tych maszyn przyczynia się do optymalizacji procesów w zakładach przetwórstw
Rolnictwo, zwierzęta i rośliny

Krzewy owocowe w ogrodzie – jak przedłużyć okres ich owocowania?
Krzewy owocowe do ogrodu to atrakcyjny element, łączący estetykę z użytecznością. Oferują świeże owoce przez długi czas, pod warunkiem odpowiedniej pielęgnacji oraz doboru roślin. Warto inwestować w różnorodne gatunki, takie jak maliny czy porzeczki, które będą owocować przez wiele miesięcy. Dbanie
Wnętrza - wyposażenie i wystrój

Dlaczego warto zwrócić uwagę na producenta materacy kieszeniowych?
Wybór odpowiedniego producenta materacy kieszeniowych ma kluczowe znaczenie dla jakości snu. Warto zwrócić uwagę na doświadczenie firmy oraz jej podejście do produkcji, co pozwoli na podjęcie świadomej decyzji. Doświadczenie na rynku może świadczyć o solidności i umiejętności dostosowania się do pot
Nauka i szkolnictwo

Korzyści z wykorzystania słownika hiszpańsko polskiego podczas podróży
Podczas podróży do krajów hiszpańskojęzycznych znajomość języka może być kluczowa. Słownik hiszpańsko-polski staje się nieocenionym narzędziem, które ułatwia komunikację oraz pozwala na lepsze zrozumienie lokalnej kultury. Dzięki niemu można nawiązywać relacje z mieszkańcami, co sprawia, że każda po
Zakupy, kultura i rozrywka

Książki o PRL, które zainspirowały pokolenia Polaków
Literatura z okresu PRL miała istotny wpływ na społeczeństwo, kształtując postrzeganie rzeczywistości. Książki poruszały różnorodne tematy, od codziennych problemów ludzi po ważne wydarzenia historyczne, wywołując silne emocje u czytelników. Dzięki temu stała się nie tylko źródłem wiedzy, ale także
Nieruchomości, zarządzanie budynkami i obiektami

Mieszkania z windą i garażem podziemnym - dlaczego są popularne w Rzeszowie?
Mieszkania z windą i garażem podziemnym zyskują na popularności wśród mieszkańców oraz inwestorów. Udogodnienia te znacząco wpływają na komfort życia oraz bezpieczeństwo użytkowników, co czyni je atrakcyjnymi w porównaniu do innych ofert. Nowoczesne rozwiązania architektoniczne i technologiczne stos
Media i badanie rynku

Jak zaprojektować efektywny baner podświetlany?
Banery podświetlane odgrywają kluczową rolę we współczesnej reklamie, przyciągając uwagę klientów dzięki estetyce i funkcjonalności. W projektowaniu tych elementów istotne jest uwzględnienie różnorodności dostępnych materiałów oraz technologii, co pozwala na stworzenie efektownych i trwałych rozwiąz
Turystyka, noclegi i wypoczynek

Wybór choinki na sprzedaż: poradnik przy zakupie sezonowym
Sezonowy zakup drzewka wygląda prosto: przyjeżdżasz na plac, wybierasz najładniejszą sztukę i wracasz do domu. W praktyce to często seria małych decyzji, które robią różnicę: czy igły wytrzymają do Trzech Króli, czy pień da się stabilnie osadzić w stojaku, czy choinka będzie pachniała lasem, a nie…
Finanse i ubezpieczenia

Bankowość cyfrowa: kluczowe trendy i korzyści dla klientów biznesowych
W 2026 roku klient biznesowy nie pyta już, czy bank ma aplikację. Pyta o coś bardziej konkretnego: „Czy mogę w 3 minuty otworzyć rachunek dla spółki, zintegrować płatności z ERP, ustawić limity zespołowi i dostać finansowanie, zanim skończy się projekt?” Na tym polega bankowość cyfrowa w praktyce: m